Padidėję Limfocitai Kraujyje: Ką Tai Iš TIKRŲJŲ Reiškia ir Kada Sunerimti?
Gavote kraujo tyrimų rezultatus ir naršydami po skaičių bei medicininių terminų labirintą, jūsų akis užkliuvo už eilutės „Limfocitai“. Skaičius šalia jos didesnis nei nurodyta norma, o paieškos sistemoje įvesti raktažodžiai „padidėję limfocitai“ išmeta gąsdinančių diagnozių sąrašą. Prieš pasiduodant panikai, giliai įkvėpkite. Nors šis rodiklis išties svarbus, dažniausiai jis signalizuoja ne apie baisiausias ligas, o apie visiškai natūralią ir netgi sveiką jūsų organizmo reakciją. Šiame išsamiame straipsnyje mes pasinersime į limfocitų pasaulį, išsiaiškinsime, kodėl jų skaičius gali padidėti, ką tai reiškia ir kada iš tiesų vertėtų sunerimti bei kreiptis į gydytoją.
Kas Apskritai Yra Tie Limfocitai? Susipažinkite su Savo Imuninės Sistemos Elitu
Įsivaizduokite savo kūną kaip didžiulę, nuolat puolamą tvirtovę. Jūsų kraujas – tai upės, kuriomis nuolat patruliuoja sargybiniai. Baltieji kraujo kūneliai, dar vadinami leukocitais, yra šios tvirtovės armija, o limfocitai – jos specialiųjų operacijų pajėgos. Tai yra elitiniai kariai, atsakingi už „protingą“ ir specifišką gynybą.
Limfocitai yra viena iš penkių pagrindinių leukocitų rūšių. Jie gaminami kaulų čiulpuose ir yra gyvybiškai svarbūs mūsų įgytam imunitetui – tai yra, gebėjimui atpažinti ir sunaikinti konkrečius patogenus (virusus, bakterijas, grybelius) bei atsiminti juos, kad ateityje būtų galima sureaguoti greičiau ir efektyviau.
Nors visi jie vadinami limfocitais, šios specialiosios pajėgos turi savo atskirus būrius su skirtingomis funkcijomis:

- B limfocitai (B ląstelės): Galima juos pavadinti ginklų gamyklomis. Susidūrę su svetimkūniu, B limfocitai pradeda gaminti antikūnus – specialius baltymus, kurie prisikabina prie įsibrovėlių ir pažymi juos kaip taikinius sunaikinimui. Būtent jie sukuria ilgalaikį imunitetą po persirgtos ligos ar skiepo.
- T limfocitai (T ląstelės): Tai universalūs kariai. Jie skirstomi į kelias grupes:
- T ląstelės žudikės (citotoksiniai T limfocitai): Tiesioginiai kovotojai, kurie aptinka ir sunaikina jau infekuotas organizmo ląsteles (pavyzdžiui, viruso užkrėstą ląstelę) arba vėžines ląsteles, neleisdami infekcijai ar ligai plisti.
- T ląstelės pagalbininkės (helperiai): Tai – armijos generolai. Jie patys tiesiogiai nekovoja, bet koordinuoja visą imuninį atsaką – aktyvuoja B ląsteles gaminti antikūnus ir T ląsteles žudikes pulti taikinius.
- Natūralios žudikės (NK ląstelės): Tai žvalgybos ir greitojo reagavimo būrys. Jos nuolat patruliuoja organizme ir sunaikina bet kokias įtartinas ląsteles – tas, kurios yra užkrėstos virusais ar pakitusios į vėžines, – net ir be išankstinio „įsakymo“ iš kitų imuninės sistemos dalių.
Taigi, kai matote padidėjusį limfocitų skaičių, tai dažniausiai reiškia, kad jūsų organizmo specialiosios pajėgos buvo mobilizuotos ir aktyviai kovoja su kokiu nors priešu.
Limfocitozė: Kai Skaičiai Virsta Diagnoze
Medicininis terminas, apibūdinantis padidėjusį limfocitų kiekį kraujyje, yra limfocitozė. Tačiau ką reiškia „padidėjęs“? Normos ribos gali šiek tiek skirtis priklausomai nuo laboratorijos, tačiau bendrai jos yra tokios:
- Suaugusiems: Apytiksliai 1 000 – 4 800 limfocitų mikrolitre (μl) kraujo (arba 1,0–4,8 x 109/L). Procentine išraiška tai sudaro apie 20–40 % visų leukocitų.
- Vaikams: Vaikų organizme limfocitų skaičius natūraliai yra daug didesnis nei suaugusiųjų ir palaipsniui mažėja su amžiumi. Kūdikiams norma gali siekti ir 9 000 limfocitų/μl, o vyresniems vaikams – iki 7 000 limfocitų/μl. Dėl šios priežasties padidėjęs limfocitų skaičius vaiko kraujo tyrime vertinamas visiškai kitaip.
Svarbu atskirti du limfocitozės tipus:
- Santykinė limfocitozė: Tai situacija, kai procentinė limfocitų dalis yra didesnė nei norma (pvz., 50 %), tačiau bendras jų skaičius (absoliutus kiekis) išlieka normalus. Taip dažnai nutinka, kai sumažėja kitų baltųjų kraujo kūnelių, ypač neutrofilų, kiekis. Nors į tai atsižvelgiama, kliniškai kur kas svarbesnis yra absoliutus skaičius.
- Absoliuti limfocitozė: Tai yra tikrasis limfocitų skaičiaus padidėjimas, kai jų yra daugiau nei nustatyta viršutinė normos riba (pvz., > 4 800/μl suaugusiam). Būtent šis rodiklis ir kelia daugiausiai klausimų bei reikalauja išsamesnio aiškinimosi.
Toliau kalbėdami apie padidėjusius limfocitus, mes turėsime omenyje būtent absoliučią limfocitozę.
Dažniausios Limfocitų Padidėjimo Priežastys: Nuo Paprasto Peršalimo iki Streso
Daugiau nei 90 % visų limfocitozės atvejų yra reaktyvūs, o tai reiškia, kad organizmas tiesiog reaguoja į tam tikrą dirgiklį. Štai patys dažniausi „kaltininkai“.
1. Virusinės infekcijos – Priežastis Nr. 1
Tai pati dažniausia ir labiausiai paplitusi limfocitų padidėjimo priežastis. Kai virusas patenka į organizmą, imuninė sistema duoda komandą „Visiems į kovą!“. Kaulų čiulpai pradeda gaminti daugiau limfocitų, ypač T ląstelių žudikių, kurios keliauja į infekcijos židinį naikinti viruso pažeistų ląstelių. Tai – normalus ir pageidaujamas imuninis atsakas.
Limfocitozę gali sukelti daugybė virusų:
- Epšteino-Baro virusas (EBV): Tai klasikinis pavyzdys, sukeliantis infekcinę mononukleozę, dar vadinamą „bučinių liga“. Jai būdingas ne tik ryškus limfocitų padidėjimas (kartais net iki 10 000–20 000/μl), bet ir specifinių, pakitusių limfocitų (atipiškų limfocitų) atsiradimas kraujyje, karščiavimas, gerklės skausmas ir padidėję limfmazgiai.
- Citomegalo virusas (CMV): Panašius į mononukleozę simptomus sukeliantis virusas.
- Adenovirusai, rinovirusai: Paprastas peršalimas ar viršutinių kvėpavimo takų infekcija.
- Gripo virusas.
- Hepatito virusai (A, B, C).
- Tymų, raudonukės, kiaulytės virusai (dabar retesni dėl vakcinacijos).
- ŽIV (žmogaus imunodeficito virusas): Ankstyvoje infekcijos stadijoje gali pasireikšti limfocitozė.
Paprastai, įveikus virusinę infekciją, limfocitų skaičius per kelias savaites grįžta į normos ribas.
2. Kai kurios bakterinės infekcijos
Nors tipiškas atsakas į bakterinę infekciją yra neutrofilų (kitos leukocitų rūšies) padidėjimas, yra keletas išimčių. Tam tikros bakterijos sukelia būtent limfocitozę. Žinomiausi pavyzdžiai:
- Bordetella pertussis: Bakterija, sukelianti kokliušą. Šiai ligai būdingas itin didelis limfocitų skaičius, ypač vaikams.
- Mycobacterium tuberculosis: Tuberkuliozės sukėlėjas.
- Toksoplazmozė, bruceliozė.
3. Ūmus Fiziologinis Stresas
Tai mažiau žinoma, bet svarbi priežastis. Kai organizmas patiria didelį fizinį stresą, pavyzdžiui, ištikus širdies infarktui, patyrus sunkią traumą, sepsio metu ar po didelės chirurginės operacijos, į kraują išsiskiria streso hormonai, tokie kaip adrenalinas. Šie hormonai gali laikinai „išstumti“ limfocitus iš audinių (pvz., blužnies, limfmazgių) į kraują. Dėl to kraujo tyrime matomas staigus, bet trumpalaikis limfocitų padidėjimas. Ši būklė praeina savaime, kai organizmas atsigauna po patirto streso.
4. Lėtinės Uždegiminės ir Autoimuninės Ligos
Sergant autoimuninėmis ligomis, imuninė sistema per klaidą pradeda atakuoti savo paties organizmo ląsteles ir audinius, sukeldama lėtinį uždegimą. Šis nuolatinis imuninės sistemos aktyvumas gali lemti nuolat šiek tiek padidėjusį limfocitų skaičių. Pavyzdžiai:
- Reumatoidinis artritas
- Opinis kolitas ar Krono liga
- Sisteminė raudonoji vilkligė
Rimtesnės Priežastys: Kai Padidėję Limfocitai – Ligos Signalas
Nors dauguma atvejų yra nepavojingi, ignoruoti ilgalaikės ar itin ryškios limfocitozės negalima. Kartais tai gali būti pirmasis rimtos, dažniausiai kraujo ar limfinės sistemos, ligos požymis. Svarbu pabrėžti – tokios priežastys yra kur kas retesnės.
1. Lėtinė Limfoleukemija (LLL)
Tai pati dažniausia suaugusiųjų leukemijos forma Vakarų pasaulyje, paprastai diagnozuojama vyresniems nei 60 metų žmonėms. LLL yra lėtai progresuojantis kraujo vėžys, kuriam būdingas nekontroliuojamas subrendusių, tačiau nefunkcionalių B limfocitų dauginimasis. Būtent nuolatinė, laikui bėgant didėjanti ir dažnai labai aukšta limfocitozė (gali siekti 20 000, 50 000 ar net virš 100 000/μl) yra pagrindinis šios ligos laboratorinis požymis. Dažnai liga aptinkama atsitiktinai, atlikus kraujo tyrimą dėl kitų priežasčių, nes ankstyvose stadijose pacientas gali nejausti jokių simptomų.
2. Ūminė Limfoblastinė Leukemija (ŪLL)
Tai agresyvi kraujo vėžio forma, dažnesnė vaikams, bet pasitaikanti ir suaugusiems. Šiuo atveju kaulų čiulpuose nekontroliuojamai dauginasi labai jaunos, nesubrendusios limfocitų formos – limfoblastai. Jie greitai išstumia normalias kraujo ląsteles. Liga pasireiškia staiga ir audringai: dideliu silpnumu, karščiavimu, kraujosruvomis, kaulų skausmais. Kraujo tyrime matomas ne tik limfocitų skaičiaus padidėjimas, bet ir kitų kraujo rodiklių (hemoglobino, trombocitų) ryškus sumažėjimas.
3. Limfomos
Tai vėžiniai susirgimai, kurie prasideda ne kaulų čiulpuose, o limfinėje sistemoje – limfmazgiuose, blužnyje. Kartais limfomos ląstelės gali patekti į kraują – tokia būklė vadinama leukemine faze. Tuomet kraujo tyrime taip pat bus matoma limfocitozė.
Ką Daryti, Jei Jūsų Tyrimai Rodo Padidėjusius Limfocitus?
Pirmas ir svarbiausias žingsnis – jokios savidiagnostikos. Internetas gali pasiūlyti daugybę scenarijų, tačiau tik gydytojas gali tinkamai įvertinti jūsų situaciją.
Štai kaip atrodys procesas, kai kreipsitės į specialistą:
- Visumos vertinimas: Gydytojas niekada nevertina vieno skaičiaus atskirai. Jam svarbu:
- Jūsų amžius. Kaip minėjome, limfocitozė vaikui ir vyresniam suaugusiam vertinama skirtingai.
- Jūsų simptomai. Ar karščiuojate, jaučiate silpnumą, ar padidėjo limfmazgiai, ar netekote svorio, ar gausiai prakaituojate naktimis? O gal jaučiatės puikiai?
- Kiti kraujo tyrimo rodikliai. Ar normalus hemoglobino, trombocitų, kitų leukocitų kiekis? Būtent šių rodiklių visuma padeda susidaryti bendrą vaizdą.
- Padidėjimo dydis ir trukmė. Nedidelis padidėjimas (pvz., 5 000–6 000/μl) vertinamas vienaip, o didelis ir nuolatinis (pvz., virš 30 000/μl) – visai kitaip.
- Tyrimų kartojimas: Jei jaučiatės gerai ir limfocitų padidėjimas nėra žymus, gydytojas greičiausiai paprašys pakartoti tyrimą po kelių savaičių ar mėnesio. Dažnai paaiškėja, kad tai tebuvo reakcija į besimptomę virusinę infekciją, ir rodiklis grįžta į normą.
- Papildomi tyrimai: Jei limfocitozė išlieka, yra didelė arba yra kitų nerimą keliančių simptomų, gali būti skiriami papildomi tyrimai:
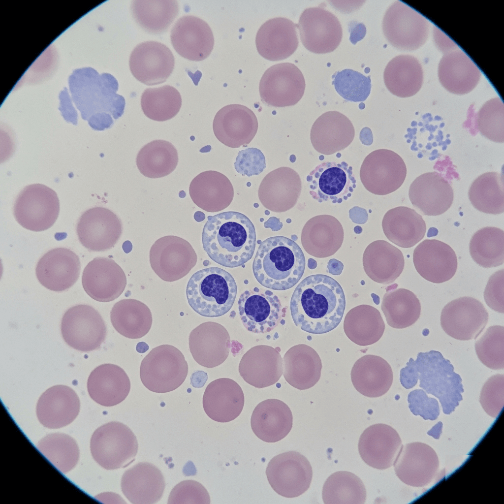
- Kraujo tepinėlio mikroskopija: Laboratorijos specialistas pro mikroskopą apžiūri jūsų kraujo ląsteles. Tai leidžia pamatyti, ar limfocitai atrodo normaliai, ar yra atipiškų, nesubrendusių ląstelių (blastų).
- Specifiniai infekcijų tyrimai: Pavyzdžiui, tyrimas dėl Epšteino-Baro viruso.
- Tėkmės citometrija: Sudėtingas tyrimas, kuris leidžia nustatyti tikslų limfocitų tipą (B, T ląstelės) ir aptikti vėžinėms ląstelėms būdingus žymenis. Tai pagrindinis tyrimas diagnozuojant lėtinę limfoleukemiją.
- Konsultacija su hematologu: Jei kyla įtarimų dėl kraujo ligos, būsite nusiųsti pas kraujo ligų specialistą, kuris gali paskirti ir sudėtingesnius tyrimus, pavyzdžiui, kaulų čiulpų biopsiją.
Apibendrinimas: Protingas Požiūris Vietoj Panikos
Padidėjęs limfocitų skaičius kraujo tyrime – tai dažnas radinys, kuris pats savaime nėra liga, o tik organizmo siunčiamas signalas. Daugeliu atvejų šis signalas reiškia, kad jūsų imuninė sistema sėkmingai atlieka savo darbą – kovoja su infekcija. Tai yra sveiko ir stipraus organizmo požymis.
Atminkite pagrindinius dalykus:
- Dažniausia priežastis – virusinė infekcija.
- Vaikams didesnis limfocitų skaičius yra normalu.
- Svarbiausia ne procentai, o absoliutus limfocitų skaičius.
- Vienas kraujo tyrimas be simptomų ir kitų pokyčių dažnai neturi didelės klinikinės reikšmės.
- Nuolatinis, didėjantis ir labai ryškus limfocitų kiekio padidėjimas, ypač lydimas tokių simptomų kaip svorio kritimas, naktinis prakaitavimas ar nuolatinis nuovargis, reikalauja būtinos gydytojo konsultacijos.
Todėl, pamatę neįprastą skaičių savo tyrimų lape, neskubėkite daryti išvadų. Pasitikėkite savo gydytoju – jis, įvertinęs visą kontekstą, padės jums suprasti, ką iš tiesų reiškia šis skaičius ir kokių veiksmų, jei tokių apskritai reikia, imtis toliau.


